Стоматологія OrthoSpace у м. Долина — лікування з посмішкою та без болю
Ми поєднуємо сучасні технології, комфорт і турботу про кожного пацієнта.
Професійна гігієна, терапія, ортодонтія, імплантація та інші послуги — все в одному місці.
Про клініку
У OrthoSpace Romaniv Dental Clinic ми створили простір, де стоматологія — це не страх, а впевненість.
Наші лікарі дбають про те, щоб кожне відвідування проходило спокійно, комфортно і з результатом, який викликає щиру посмішку.
Ми працюємо з використанням сучасного обладнання, якісних матеріалів і дотримуємося міжнародних стандартів лікування.

Наші Послуги
Завантаження послуг...
Чому саме OrthoSpace
Наші пацієнти приходять не лише лікувати зуби – вони приходять по спокій, довіру та турботу. Після комплексного лікування ми супроводжуємо кожного пацієнта: проводимо регулярні огляди та професійну гігієну кожні 6 місяців, щоб контролювати результати і підтримувати здоров'я ротової порожнини. Ми завжди поруч – готові відповісти, порадити, допомогти. Це формує довіру та впевненість, що у нас дбають не лише про зуби, а й про людину в кріслі.
Сучасне Обладнання
Ми використовуємо європейські технології та 3D-діагностику, щоб лікування було максимально точним і безболісним.
Безпека І Комфорт
Ми створили простір, де немає страху перед стоматологом. Комфортна анестезія, чистота операційного поля, стерильність на 100%.
Турбота Про Кожного Пацієнта
Ми не женемось за кількістю. Для нас важливо, щоб ви вийшли з OrthoSpace з посмішкою, а не просто з рахунком.
Досвід І Професіоналізм
Команда сертифікованих стоматологів з багаторічним досвідом гарантує якість кожного етапу – від профілактики до імплантації.
Повний Цикл Лікування
Від консультації до естетичної реставрації – усе в одному місці, без направлень у інші клініки.
Прозорі Ціни
Жодних прихованих оплат. Ви завжди знаєте, за що платите і які варіанти лікування доступні саме вам.
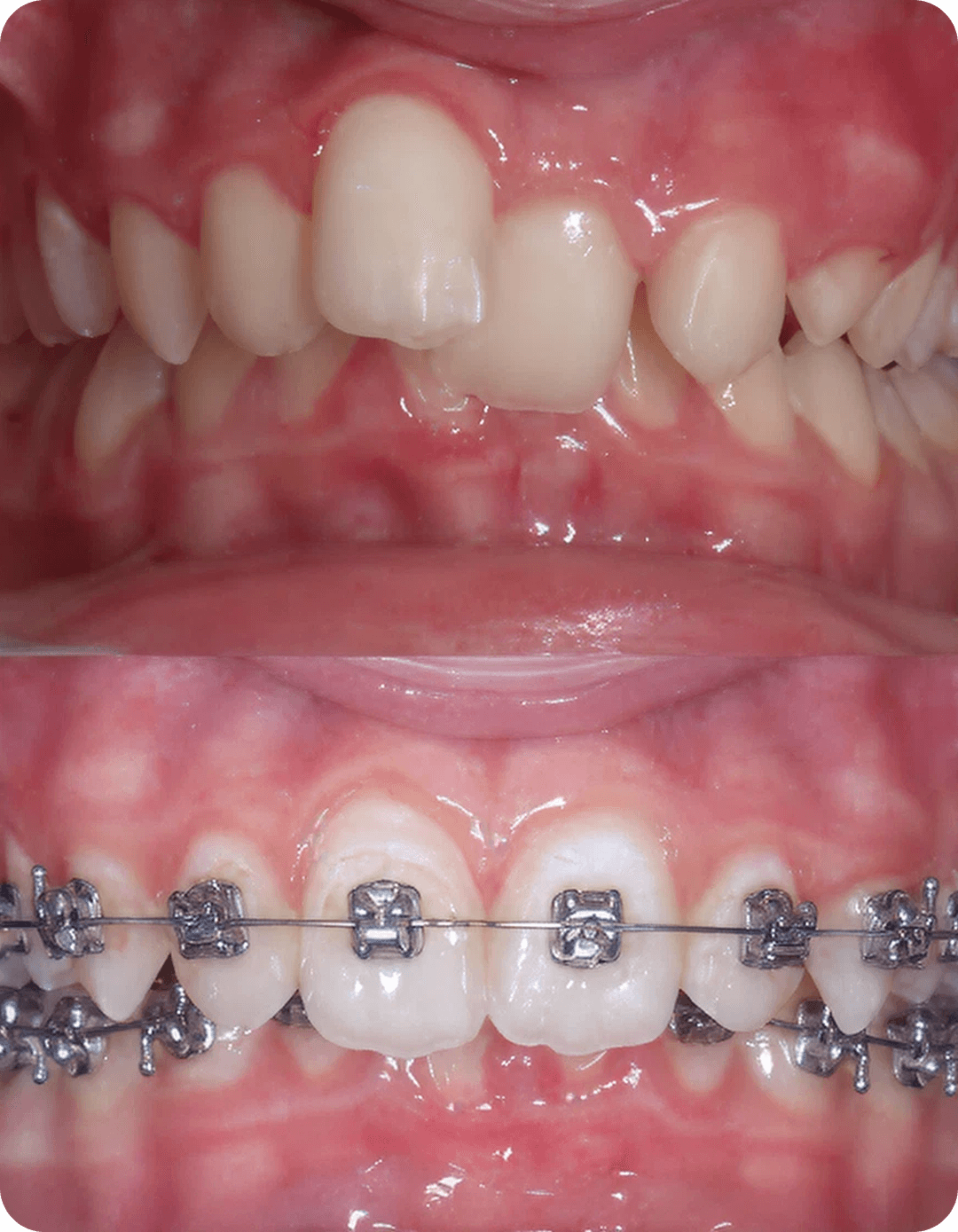
Наша спеціалізація

Ми спеціалізуємося на ортодонтії та терапії, поєднуючи точність медицини з естетикою посмішки.
Кожен наш пацієнт отримує не лише лікування — а гармонію, впевненість і комфорт на кожному етапі.
Галерея







Контакти
Зв'яжіться з нами
Залишіть нам заявку, і наш спеціаліст зв'яжеться з вами протягом години, щоб обговорити деталі та провести безкоштовний огляд.
Телефонуйте 08:00 - 20:00
Графік роботи
Пн-Пт
08:00 - 20:00
Сб-Нд
09:00 - 18:00
Завантаження...
Отримання даних місцезнаходження...
